A Clinical Case Presentation by Michael Chung, DDS. MS, Tiverton, Rhode Island



Treating Clinician: Michael Chung, DDS, MS, Tiverton, Rhode Island
A 65-year-old female patient presented with missing teeth Nos. 8 and 9, the maxillary central incisors. The hopeless teeth were extracted 12 months prior due to advanced periodontal disease. The healthy patient desired to improve the aesthetics and function of her smile with fixed implant-supported restorations. Since there was inadequate bone volume for implant placement, the treatment plan called for regeneration of the anterior maxillae with alloOss 50/50 Allograft and a perFORM Collagen Membrane due to their superior handling qualities and predictable outcomes. Implant placement and fixed restorations followed.

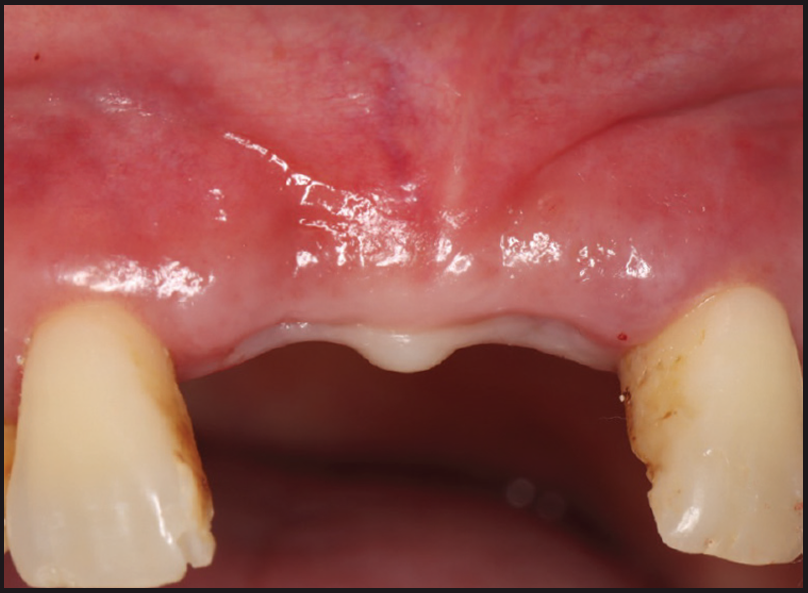
Clinical situation 12 months post-extraction of the maxillary central incisors.

3D imaging of severely resorbed anterior maxillae secondary to extractions and bone resorption of the anterior maxillae.

Vertical releasing incisions and a midcrestal incision were made, followed by raising a subperiosteal flap.

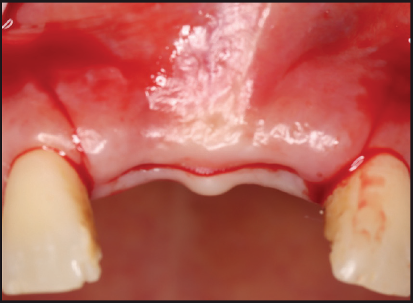
Clinical situation showing the osseous defects 12 months post-extractions.

The anterior maxillae was grafted with alloOss Allograft 50/50 mixed with PRF.

A 30mm x 40mm perFORM Collagen Membrane was trimmed to approximate the regenerative site.

The perFORM Collagen Membrane was placed over the graft material and tucked under the palatal soft-tissue flap.

The perFORM Collagen Membrane was then tucked under the facial soft-tissue flap.

The soft-tissue flaps were approximated over the graft/membrane and secured with uninterrupted sutures using PTFE sutures.

The sutures were removed at the post-operative appointment at 3 weeks, revealing successful soft-tissue closure and uneventful healing.

The regenerated site demonstrated complete healing at 5 months. Note the height and width of the bone volume created from the regenerative procedure.

3D imaging and a periapical radiograph taken at 5 months revealed successful regeneration of the anterior maxillae.

The perFORM Collagen Membrane was placed over the graft material and tucked under the palatal soft-tissue flap.

A periodontal probe demonstrates 9mm of osseous width—created by the regenerative procedure, demonstrating adequate bone volume for implant placement.

The sites were prepared, and two dental implants were placed. The implants successfully achieved initial primary stability into the newly regenerated bone.

On the day of implant placement, a periapical radiograph shows successful implant placement into the newly regenerated anterior maxillae.
This clinical case presentation demonstrated excellent regeneration of the anterior maxillae secondary to tooth extractions 12 months prior, followed by implant placement. The bony defects were regenerated from 4.2mm to 5.7mm of width at the crest with alloOss Allograft 50/50 and a perFORM Collagen Membrane. These regenerative materials were chosen for their excellent handling properties and superior outcomes.

After graduating from Cleveland State University with a Bachelor of Science Degree in Biology, Lt Col Chung entered The Ohio State University’s College of Dentistry. He graduated with his Doctor of Dental Surgery Degree in 1997 and entered private practice in Virginia Beach, Virginia. In 2002, Lt Col Chung joined the United States Air Force as a Dental Officer to serve his country and was assigned to Misawa Air Base, Japan as a General Dentist. In 2005, Lt Col Chung entered the three-year periodontal residency program at Joint Base San Antonio-Lackland, Texas and achieved Board Certification status with the American Board of Periodontology in 2008.
During his residency program, he also earned a Master of Science from the University of Texas Health Science Center, San Antonio. After transitioning from Active Duty to Reservist, he started a private periodontal practice in Tiverton, Rhode Island in 2011. Lt Col Chung also served as a part time faculty member at Harvard Dental School and Periodontal Residency Program. He has lectured on numerous occasions to dental professionals to share his knowledge and expertise in the field of periodontics, regenerative, and implant dentistry

alloOss is a safe, predictable and effective solution for providing a scaffolding for cell ingrowth and promoting the growth of new bone.
alloOss Mineralized Allograft Particulates preserve natural collagen and minerals with the bony structure of allograft. The existence of these natural minerals and collagen facilitates remodeling of the host bone suitable for implantation. alloOss products are designed to promote new bone formation.
These products have been processed and sterilized to the highest standards set forth by the American Association of Tissue Banks (AATB®) and the U.S. Food and Drug Administration (FDA) regulations. alloOss allograft is obtained and processed in conjunction with AATB accredited tissue banks.
alloOss Allograft Particulates offer the structural strength required to maintain space and volume during the remodeling phase. Used alone or as a composite graft, alloOss Particulates are an effective alternative to intraoral graft harvesting.

Activate regeneration! perFORM Collagen Membranes have a permeable, bilayer structure. The layers contain highly purified collagen fibers that act to support new bone growth. The densely packed collagen bundles present in the outer layer prevent ingrowth of epithelial cells into the repair site. The perFORM membrane is fully resorbable, while allowing sufficient time for osteogenesis to occur, and requires no second surgery to remove.